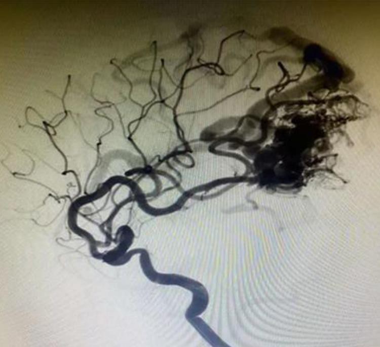
Lava -12 hệ thống phôi phình động mạch nội sọ
Khi dung nhamTMHệ thống phôi chất phình động mạch nội sọ đang tiếp xúc với máu hoặc bất kỳ dung dịch nước nào, bề mặt của nó sẽ ngay lập tức được củng cố và tạo thành một màng bảo vệ. DMSO trong tác nhân phôi bị pha loãng và khuếch tán trong máu, do đó bột tantalum được bọc bởi EVOH được kết tủa và củng cố từ bên ngoài ra bên trong. Đồng thời, dung nham được khuếch tán ở rất xa dưới áp suất tiêm. Cuối cùng, nó tạo thành một cơ thể phôi xốp ở vị trí thuyên tắc.

Nham thạchTMHệ thống thuyên tắc phình động mạch được làm bằng vật liệu không dính, vì vậy nó an toàn hơn và không dính ống thông.
Đó là công thức độ nhớt thấp duy nhất với phạm vi hoàn chỉnh các mô hình Lava -12, Lava -18 và Lava -34.
Nó có sự phân tán và thâm nhập tốt hơn. và nó có thể xâm nhập sâu vào tổn thương, và đến được tàu xa.
Bột tantalum mịn hơn, kết tủa chậm hơn và chụp X quang rõ ràng hơn so với các đối thủ cạnh tranh.

Ghi chú choHệ thống phôi phình động mạch
● Quan sát xem tác nhân phôi hóa lỏng dung nham có đông cứng hay không, nếu vậy, nó cần phải được làm tan trước tiên.
● Đặt tác nhân phôi chất lỏng dung nham trên máy rung.
● Điều chỉnh máy rung ở mức cao.
● Không dưới 20 phút để lắc
● Cho đến khi nó được sử dụng.
|
Mã sản phẩm |
Độ nhớt |
Mô tả |
|
Lava -12 |
12 cst |
Độ nhớt thấp hơn, chất lỏng hơn, cho các vi mô xa; |
|
Lava -18 |
18 cst |
Công thức tiêu chuẩn, sử dụng chung; |
|
Lava -34 |
34 cst |
Độ nhớt cao hơn, cho các tàu dòng chảy cao. |











